You have no items in your shopping cart.
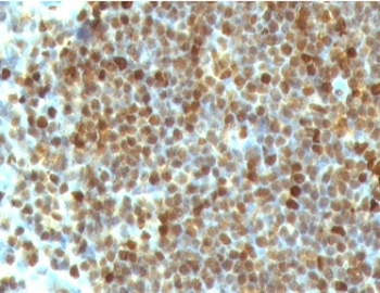
- PCNA Rabbit Polyclonal Antibody [orb513017]
ELISA, IHC, WB
Human
Mouse, Rat
Rabbit
Polyclonal
Unconjugated
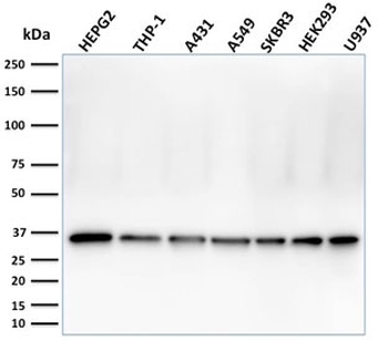
100 μg - PCNA Antibody (Monoclonal, PC 10) [orb18259]
ICC, IHC, WB
Human, Mouse, Rat
Mouse
Monoclonal
Unconjugated
100 μg - PCNA, Biotinylated Antibody [orb341496]
ELISA, WB
Human, Mouse, Porcine, Rat
Bovine, Canine
Goat
Polyclonal
Unconjugated
100 μg - PCNA (aa111-122), Biotinylated Antibody [orb403011]
ELISA, WB
Human
Bovine, Canine, Mouse, Porcine, Rat
Goat
Polyclonal
Unconjugated
100 μg



















