You have no items in your shopping cart.
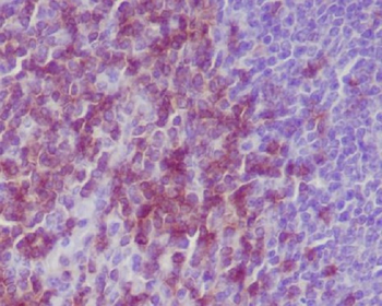
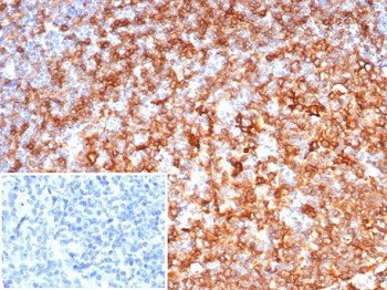
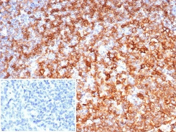
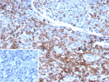
- CD247 (Phospho-Y142) polyclonal antibody [orb1678127]
IHC, WB
Human, Mouse
Rabbit
Polyclonal
Unconjugated
200 μl, 100 μl, 50 μl - CD247 polyclonal antibody [orb1678110]
IHC, WB
Human, Mouse, Rat
Rabbit
Polyclonal
Unconjugated
200 μl, 100 μl, 50 μl







