You have no items in your shopping cart.
RBP Native Protein
SKU: orb1471911
Description
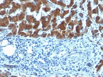
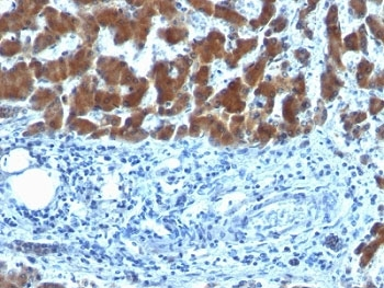
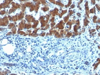
Images & Validation
−
| Application Notes |
|---|
Key Properties
−| Source | Urine from the patients with renal tubular proteinuria |
|---|---|
| Purity | Greater than 96.0%. |
Storage & Handling
−| Storage | Stability: RBP Human although stable at room temperature for 3 weeks, should be stored between 2-8°C |
|---|---|
| Form/Appearance | Sterile Filtered White lyophilized (freeze-dried) powder. |
| Buffer/Preservatives | The protein was lyophilized (0.2 µm filtered) from 20mM NH4HCO3. |
| Disclaimer | For research use only |
Similar Products
−
Quality Guarantee
Explore bioreagents carefree to elevate your research. All our products are rigorously tested for performance. If a product does not perform as described on its datasheet, our scientific support team will provide expert troubleshooting, a prompt replacement, or a refund. For full details, please see our Terms & Conditions and Buying Guide. Contact us at [email protected].
Documents Download
Datasheet
Product Information
Request a Document
Protocol Information
RBP Native Protein (orb1471911)
Based on 0 reviews
Participating in our Biorbyt product reviews program enables you to support fellow scientists by sharing your firsthand experience with our products.
Login to Submit a Review

