You have no items in your shopping cart.
Recombinant Cdc20 Antibody
Description
Images & Validation
−| Tested Applications | IHC-P |
|---|---|
| Dilution Range | Immunohistochemistry (FFPE): 1-2ug/ml |
| Reactivity | Human |
| Application Notes |
Key Properties
−| Antibody Type | Primary Antibody |
|---|---|
| Host | Rabbit |
| Clonality | Recombinant |
| Isotype | Rabbit IgG, kappa |
| Clone No. | CDC20/7026R |
| Immunogen | Recombinant human Cdc20 protein was used as the immunogen for the recombinant Cdc20 antibody. |
| Purification | Protein A/G affinity |
| Conjugation | Unconjugated |
Storage & Handling
−| Storage | Maintain refrigerated at 2-8°C for up to 2 weeks. For long term storage store at -20°C in small aliquots to prevent freeze-thaw cycles. |
|---|---|
| Buffer/Preservatives | 0.2 mg/ml in 1X PBS with 0.1 mg/ml rAlbumin, 0.05% sodium azide |
| Expiration Date | 12 months from date of receipt. |
| Disclaimer | For research use only |
Similar Products
−FZR1 Antibody [orb412357]
IF, WB
Human, Mouse
Rabbit
Polyclonal
Unconjugated
30 μl, 50 μl, 100 μl, 200 μl

Quality Guarantee
Explore bioreagents carefree to elevate your research. All our products are rigorously tested for performance. If a product does not perform as described on its datasheet, our scientific support team will provide expert troubleshooting, a prompt replacement, or a refund. For full details, please see our Terms & Conditions and Buying Guide. Contact us at [email protected].

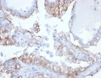
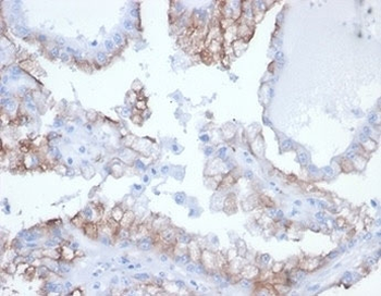
IHC staining of FFPE human kidney tissue with recombinant Cdc20 antibody CDC20/7026R) at 2 ug/ml. HIER: boil tissue sections in pH9 10mM Tris with 1mM EDTA for 20 min and allow to cool before testing.

IHC staining of FFPE human kidney carcinoma tissue with recombinant Cdc20 antibody (clone CDC20/7026R) at 2 ug/ml. HIER: boil tissue sections in pH9 10mM Tris with 1mM EDTA for 20 min and allow to cool before testing.

Negative control: IHC staining of FFPE human brain tissue with recombinant Cdc20 antibody (clone CDC20/7026R) at 2 ug/ml in PBS for 30 min RT. HIER: boil tissue sections in pH9 10mM Tris with 1mM EDTA for 20 min and allow to cool before testing.

SDS-PAGE analysis of purified, BSA-free recombinant Cdc20 antibody (clone CDC20/7026R) as confirmation of integrity and purity.
Quick Database Links
UniProt Details
−Documents Download
Request a Document
Recombinant Cdc20 Antibody (orb2635658)
Participating in our Biorbyt product reviews program enables you to support fellow scientists by sharing your firsthand experience with our products.
Login to Submit a Review










