You have no items in your shopping cart.
Human ALK-1
Description
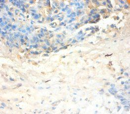
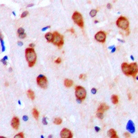
Images & Validation
−
Key Properties
−| Expression System | Human Cells |
|---|---|
| Biological Origin | Human |
| Tag | C-Fc |
| Molecular Weight | Predicted: 37.6 KDa. Observed: 50-65 KDa, reducing conditions |
| Expression Region | Asp22-Gln118 |
| Purity | SDS-PAGE: Greater than 90% as determined by reducing SDS-PAGE. |
| Endotoxins | < 1 EU/µg as determined by LAL test. |
| Conjugation | Unconjugated |
Storage & Handling
−| Storage | Lyophilized protein should be stored at ≤ -20°C, stable for one year after receipt. Reconstituted protein solution can be stored at 2-8°C for 2-7 days. Aliquots of reconstituted samples are stable at ≤ -20°C for 3 months. |
|---|---|
| Form/Appearance | Lyophilized from a 0.2 μm filtered solution of PBS, pH 7.4. |
| Reconstitution | Always centrifuge tubes before opening.Do not mix by vortex or pipetting. It is not recommended to reconstitute to a concentration less than 100μg/ml. Dissolve the lyophilized protein in distilled water. Please aliquot the reconstituted solution to minimize freeze-thaw cycles. |
| Disclaimer | For research use only |
Alternative Names
−Similar Products
−ALK-1/ACVRL1 Antibody [orb745936]
ELISA, FC, IHC, WB
Human, Mouse, Rat
Rabbit
Polyclonal
Unconjugated
100 μgMouse ALK-1 [orb2994410]
Unconjugated
SDS-PAGE: Greater than 95% as determined by reducing SDS-PAGE.
Predicted: 38.1 KDa. Observed: 55-60 KDa, reducing conditions
10 μg, 50 μg, 500 μg, 1 mgALK1 Antibody [orb213522]
IF, IHC, WB
Bovine, Canine, Human, Mouse, Porcine, Rat
Rabbit
Polyclonal
Unconjugated
50 μl, 30 μl, 100 μl, 200 μl

Quality Guarantee
Explore bioreagents carefree to elevate your research. All our products are rigorously tested for performance. If a product does not perform as described on its datasheet, our scientific support team will provide expert troubleshooting, a prompt replacement, or a refund. For full details, please see our Terms & Conditions and Buying Guide. Contact us at [email protected].
Quick Database Links
UniProt Details
−Documents Download
Request a Document
Protocol Information
Human ALK-1 (orb2995090)
Participating in our Biorbyt product reviews program enables you to support fellow scientists by sharing your firsthand experience with our products.
Login to Submit a Review














