You have no items in your shopping cart.
Ribosomal Protein L11 rabbit pAb Antibody
Description
Images & Validation
−| Tested Applications | ELISA, IHC, WB |
|---|---|
| Dilution Range | WB 1:500-2000;IHC-p 1:50-300; ELISA 2000-20000 |
| Reactivity | Human, Mouse, Rat |
Key Properties
−| Clonality | Polyclonal |
|---|---|
| Isotype | IgG |
| Immunogen | Synthesized peptide derived from Ribosomal Protein L11 . at AA range: 100-180 |
| Molecular Weight | 20 |
| Purification | The antibody was affinity-purified from rabbit antiserum by affinity-chromatography using epitope-specific immunogen. |
| Conjugation | Unconjugated |
Storage & Handling
−| Storage | Maintain refrigerated at 2-8°C for up to 2 weeks. For long term storage store at -20°C in small aliquots to prevent freeze-thaw cycles. |
|---|---|
| Buffer/Preservatives | PBS with 0.02% sodium azide and 50% glycerol pH 7.4. |
| Concentration | 1 mg/ml |
| Expiration Date | 12 months from date of receipt. |
| Disclaimer | For research use only |
Alternative Names
−Similar Products
−MRP-L11 rabbit pAb Antibody [orb765702]
ELISA, IF, IHC, WB
Human, Monkey
Polyclonal
Unconjugated
50 μl, 100 μlGIG34 Rabbit pAb, IRDye 800CW conjugated [orb2844666]
WB
Canine, Human, Porcine
Mouse, Rat
Rabbit
Polyclonal
IRDye800
100 μlGIG34 Rabbit pAb, PerCP-Cy7 conjugated [orb2844663]
IF
Canine, Human, Porcine
Mouse, Rat
Rabbit
Polyclonal
PerCP/Cy7
100 μlGIG34 Rabbit pAb, Pacific Blue conjugated [orb2844664]
IF
Canine, Human, Porcine
Mouse, Rat
Rabbit
Polyclonal
Pacific Blue
100 μlGIG34 Rabbit pAb, BF700 conjugated [orb2844665]
IF
Canine, Human, Porcine
Mouse, Rat
Rabbit
Polyclonal
BF700
100 μl

Quality Guarantee
Explore bioreagents carefree to elevate your research. All our products are rigorously tested for performance. If a product does not perform as described on its datasheet, our scientific support team will provide expert troubleshooting, a prompt replacement, or a refund. For full details, please see our Terms & Conditions and Buying Guide. Contact us at [email protected].

Western blot analysis of lysates from A431 cells, primary antibody was diluted at 1:1000, 4°C over night.

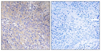
Immunohistochemical analysis of paraffin-embedded human lung cancer. 1, Antibody was diluted at 1:200 (4°C overnight). 2, Tris-EDTA, pH9.0 was used for antigen retrieval. 3, Secondary antibody was diluted at 1:200 (room temperature, 45min).
Documents Download
Request a Document
Protocol Information
Ribosomal Protein L11 rabbit pAb Antibody (orb769943)
Participating in our Biorbyt product reviews program enables you to support fellow scientists by sharing your firsthand experience with our products.
Login to Submit a Review



