You have no items in your shopping cart.
S100A10 Antibody
Description
Research Area
Images & Validation
−| Tested Applications | ELISA, IF, IHC, WB |
|---|---|
| Dilution range | WB: 1:500 - 1:2000; IHC: 1:50 - 1:200; IF: 1:50 - 1:100 |
| Reactivity | Human, Mouse |
Key Properties
−| Antibody Type | Primary Antibody |
|---|---|
| Host | Rabbit |
| Clonality | Polyclonal |
| Isotype | IgG |
| Immunogen | S100 calcium binding protein A10 |
| Target | S100A10 |
| Molecular Weight | 13 kDa |
| Purity | ≥95% as determined by SDS-PAGE |
| Purification | Immunogen affinity purified |
| Conjugation | Unconjugated |
Storage & Handling
−| Storage | Maintain refrigerated at 2-8°C for up to 2 weeks. For long term storage store at -20°C in small aliquots to prevent freeze-thaw cycles. |
|---|---|
| Form/Appearance | liquid |
| Disclaimer | For research use only |
Alternative Names
−Similar Products
−S100A10 Antibody [orb402277]
ELISA, FC, ICC, IF, IHC, WB
Human, Monkey, Mouse, Rat
Rabbit
Polyclonal
Unconjugated
100 μgS100A10 Rabbit Polyclonal Antibody [orb1704]
ELISA, IF, IHC-Fr, IHC-P, WB
Rat
Human, Mouse, Rat
Rabbit
Polyclonal
Unconjugated
50 μl, 100 μlRat S100 Calcium Binding Protein A10 (S100A10) ELISA Kit [orb778126]
Rat
0.32-20 ng/mL
0.111 ng/mL
96 T, 48 TMouse S100 Calcium Binding Protein A10 (S100A10) ELISA Kit [orb775227]
Mouse
31.25-2000 pg/mL
12.9 pg/mL
96 T, 48 T

Quality Guarantee
Explore bioreagents carefree to elevate your research. All our products are rigorously tested for performance. If a product does not perform as described on its datasheet, our scientific support team will provide expert troubleshooting, a prompt replacement, or a refund. For full details, please see our Terms & Conditions and Buying Guide. Contact us at [email protected].

Hela cells were subjected to SDS PAGE followed by western blot with orb630915 (S100A10 antibody) at dilution of 1:1000.

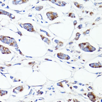
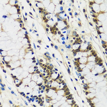
Immunohistochemistry of paraffin-embedded human liver cancer tissue slide using orb630915 (S10010 Antibody) at dilution of 1:100.
Quick Database Links
UniProt Details
−Documents Download
Request a Document
Protocol Information
S100A10 Antibody (orb630915)
Participating in our Biorbyt product reviews program enables you to support fellow scientists by sharing your firsthand experience with our products.
Login to Submit a Review


























