You have no items in your shopping cart.
Recombinant S100A4 Antibody / FSP1
Description
Research Area
Images & Validation
−| Tested Applications | FACS, IF, IHC-P, WB |
|---|---|
| Dilution Range | Western blot: 1-2ug/ml,Flow cytometry: 1-2ug/10^6 cells,Immunofluorescence: 1-2ug/ml,Immunohistochemistry (FFPE): 1-2ug/ml for 30 min at RT |
| Reactivity | Human, Mouse |
| Application Notes |
Key Properties
−| Antibody Type | Primary Antibody |
|---|---|
| Host | Rabbit |
| Clonality | Recombinant |
| Isotype | Rabbit IgG, kappa |
| Clone No. | S100A4/2750R |
| Immunogen | A portion of amino acids 1-200 from the human protein was used as the immunogen for this recombinant S100A4 antibody. |
| Purification | Protein A affinity chromatography |
| Conjugation | Unconjugated |
Storage & Handling
−| Storage | Maintain refrigerated at 2-8°C for up to 2 weeks. For long term storage store at -20°C in small aliquots to prevent freeze-thaw cycles. |
|---|---|
| Buffer/Preservatives | 0.2 mg/ml in 1X PBS with 0.1 mg/ml rAlbumin and 0.05% sodium azide |
| Expiration Date | 12 months from date of receipt. |
| Disclaimer | For research use only |
Similar Products
−Recombinant S100A4 Antibody / FSP1 [orb2642297]
FACS, IF, IHC-P, WB
Human, Mouse
Rabbit
Recombinant
Unconjugated
100 μgRecombinant S100A4 Antibody / FSP1 [orb2642282]
FACS, IHC-P, WB
Human
Rabbit
Recombinant
Unconjugated
100 μgRecombinant S100A4 Antibody / FSP1 [orb534354]
FACS, IHC-P, WB
Human
Rabbit
Recombinant
Unconjugated
100 μg, 20 μg

Quality Guarantee
Explore bioreagents carefree to elevate your research. All our products are rigorously tested for performance. If a product does not perform as described on its datasheet, our scientific support team will provide expert troubleshooting, a prompt replacement, or a refund. For full details, please see our Terms & Conditions and Buying Guide. Contact us at [email protected].

SDS-PAGE analysis of purified, BSA-free recombinant S100A4 antibody as confirmation of integrity and purity.

Western blot testing of human HeLa cell lysate with recombinant S100A4 antibody. Predicted molecular weight ~12 kDa.

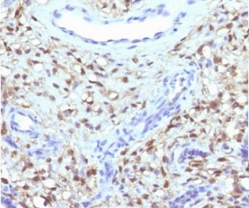
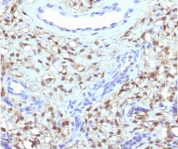
IHC testing of FFPE human placenta with recombinant S100A4 antibody. Required HIER: steam sections in pH9 10 mM Tris with 1 mM EDTA for 10-20 min and allow to cool before testing.

Immunofluorescent staining of permeabilized human A549 cells with recombinant S100A4 antibody (green, clone S100A4/2750R) and Reddot (red, nuclear stain).

FACS testing of permeabilized human A549 cells with recombinant S100A4 antibody (blue, clone S100A4/2750R) and isotype control (red).
Quick Database Links
UniProt Details
−Documents Download
Request a Document
Protocol Information
Recombinant S100A4 Antibody / FSP1 (orb606840)
Participating in our Biorbyt product reviews program enables you to support fellow scientists by sharing your firsthand experience with our products.
Login to Submit a Review












