You have no items in your shopping cart.
SENP3 Antibody
Description
Research Area
Images & Validation
−| Tested Applications | ELISA, IHC, WB |
|---|---|
| Dilution Range | WB: 1: 500-1: 3000, IHC-P: 1: 50-1: 100 |
| Reactivity | Human, Mouse |
Key Properties
−| Host | Rabbit |
|---|---|
| Clonality | Polyclonal |
| Isotype | IgG |
| Immunogen | Synthesized peptide derived from Internal of Human SENP3. |
| Target | SENP3 |
| Purification | The antibody was affinity-purified from rabbit antiserum by affinity-chromatography using epitope-specific immunogen. |
| Conjugation | Unconjugated |
Storage & Handling
−| Storage | Maintain refrigerated at 2-8°C for up to 2 weeks. For long term storage store at -20°C in small aliquots to prevent freeze-thaw cycles. |
|---|---|
| Form/Appearance | liquid |
| Buffer/Preservatives | Rabbit IgG in phosphate buffered saline (without Mg2+ and Ca2+), pH 7.4, 150mM NaCl, 0.02% sodium azide and 50% glycerol. |
| Expiration Date | 12 months from date of receipt. |
| Disclaimer | For research use only |
Alternative Names
−Similar Products
−SENP3 Rabbit Polyclonal Antibody [orb582712]
IF, WB
Bovine, Canine, Equine, Guinea pig, Mouse, Rabbit
Human, Rat
Rabbit
Polyclonal
Unconjugated
100 μlRabbit SENP3 Antibody [orb1525392]
IHC, IP, WB
Human, Mouse
Rabbit
Polyclonal
Unconjugated
100 μl, 10 μl

Quality Guarantee
Explore bioreagents carefree to elevate your research. All our products are rigorously tested for performance. If a product does not perform as described on its datasheet, our scientific support team will provide expert troubleshooting, a prompt replacement, or a refund. For full details, please see our Terms & Conditions and Buying Guide. Contact us at [email protected].

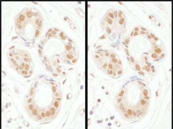
Immunohistochemical staining of human breast carcinoma tissue using SENP3 antibody

Western blot analysis of Jurkat cells using SENP3 antibody
Quick Database Links
UniProt Details
−Documents Download
Request a Document
Protocol Information
SENP3 Antibody (orb684909)
Participating in our Biorbyt product reviews program enables you to support fellow scientists by sharing your firsthand experience with our products.
Login to Submit a Review












