You have no items in your shopping cart.
Recombinant SAA Antibody / SAA1 + SAA2
Description
Research Area
Images & Validation
−| Tested Applications | IHC-P |
|---|---|
| Dilution range | Immunohistochemistry (FFPE): 1-2ug/ml for 30 min at RT |
| Reactivity | Human |
| Application Notes |
Key Properties
−| Antibody Type | Primary Antibody |
|---|---|
| Host | Rabbit |
| Clonality | Recombinant |
| Isotype | Rabbit IgG, kappa |
| Clone No. | SAA/2868R |
| Immunogen | Recombinant human protein was used as the immunogen for the recombinant SAA antibody. |
| Purification | Protein A affinity chromatography |
| Conjugation | Unconjugated |
Storage & Handling
−| Storage | Maintain refrigerated at 2-8°C for up to 2 weeks. For long term storage store at -20°C in small aliquots to prevent freeze-thaw cycles. |
|---|---|
| Disclaimer | For research use only |
Similar Products
−
Quality Guarantee
Explore bioreagents carefree to elevate your research. All our products are rigorously tested for performance. If a product does not perform as described on its datasheet, our scientific support team will provide expert troubleshooting, a prompt replacement, or a refund. For full details, please see our Terms & Conditions and Buying Guide. Contact us at [email protected].

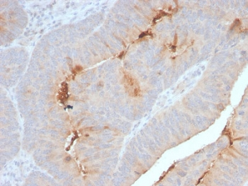
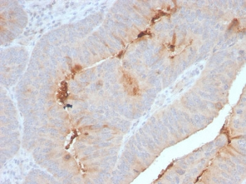
IHC staining of FFPE human colon carcinoma with recombinant SAA antibody. HIER: boil tissue sections in 10mM Tris with 1mM EDTA, pH 9, for 10-20 min and allow to cool before testing.

SDS-PAGE analysis of purified, BSA-free recombinant SAA antibody as confirmation of integrity and purity.
Documents Download
Request a Document
Recombinant SAA Antibody / SAA1 + SAA2 (orb606841)
Participating in our Biorbyt product reviews program enables you to support fellow scientists by sharing your firsthand experience with our products.
Login to Submit a Review


