You have no items in your shopping cart.
TFPI2 Antibody
Description
Research Area
Images & Validation
−| Tested Applications | ELISA, IHC, WB |
|---|---|
| Dilution Range | ELISA:1:1000-1:2000, WB:1:200-1:1000, IHC-P:1:25-1:100 |
| Reactivity | Human |
Key Properties
−| Host | Rabbit |
|---|---|
| Clonality | Polyclonal |
| Isotype | IgG |
| Immunogen | Fusion protein of Human TFPI2 |
| Target | TFPI2 |
| Purification | Antigen Affinity Purified |
| Conjugation | Unconjugated |
Storage & Handling
−| Storage | Maintain refrigerated at 2-8°C for up to 2 weeks. For long term storage store at -20°C in small aliquots to prevent freeze-thaw cycles. |
|---|---|
| Form/Appearance | Liquid |
| Buffer/Preservatives | -20°C, pH7.4 PBS, 0.05% NaN3, 40% Glycerol |
| Expiration Date | 12 months from date of receipt. |
| Disclaimer | For research use only |
Alternative Names
−Similar Products
−Human Tissue Factor Pathway Inhibitor 2 (TFPI2) ELISA Kit [orb776555]
Human
31.25-2000 pg/mL
12.2 pg/mL
96 T, 48 TTFPI2 Rabbit Polyclonal Antibody [orb19262]
FC, ICC, IHC, IHC-Fr, WB
Human, Mouse
Rabbit
Polyclonal
Unconjugated
100 μgGSTA4 Rabbit Polyclonal Antibody [orb692180]
ELISA, FC, IHC, WB
Human, Monkey
Rabbit
Polyclonal
Unconjugated
100 μgNUP107 Rabbit Polyclonal Antibody [orb1743785]
ELISA, FC, ICC, IF, IP, WB
Human, Mouse, Rat
Rabbit
Polyclonal
Unconjugated
100 μg

Quality Guarantee
Explore bioreagents carefree to elevate your research. All our products are rigorously tested for performance. If a product does not perform as described on its datasheet, our scientific support team will provide expert troubleshooting, a prompt replacement, or a refund. For full details, please see our Terms & Conditions and Buying Guide. Contact us at [email protected].

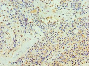
Immunohistochemistry of paraffin-embedded Human lung cancer tissue using TFPI2 antibody

Western blot aanalysis of Human placenta tissueusing TFPI2 antibody

Immunohistochemistry of paraffin-embedded Human liver cancer tissue using TFPI2 antibody
Quick Database Links
UniProt Details
−Documents Download
Request a Document
Protocol Information
TFPI2 Antibody (orb519597)
Participating in our Biorbyt product reviews program enables you to support fellow scientists by sharing your firsthand experience with our products.
Login to Submit a Review












