You have no items in your shopping cart.
TNFSF11 Antibody
Description
Research Area
Images & Validation
−| Tested Applications | ELISA, IF, IHC |
|---|---|
| Dilution range | IHC-P:1:20-200, IF:1:50-200 |
| Reactivity | Human |
Key Properties
−| Host | Rabbit |
|---|---|
| Clonality | Polyclonal |
| Isotype | IgG |
| Immunogen | Recombinant Human Tumor necrosis factor ligand superfamily member 11 protein (73-306AA) |
| Target | TNFSF11 |
| Purification | >95%, Protein G purified |
| Conjugation | Unconjugated |
Storage & Handling
−| Storage | Maintain refrigerated at 2-8°C for up to 2 weeks. For long term storage store at -20°C in small aliquots to prevent freeze-thaw cycles. |
|---|---|
| Form/Appearance | Liquid |
| Buffer/Preservatives | Preservative: 0.03% Proclin 300. Constituents: 50% Glycerol |
| Disclaimer | For research use only |
Alternative Names
−Similar Products
−RANKL/CD254 Rabbit Polyclonal Antibody [orb11190]
FC, IF, IHC-Fr, IHC-P, WB
Canine, Rat
Human, Mouse
Rabbit
Polyclonal
Unconjugated
100 μl, 50 μl, 200 μlRANKL rabbit pAb Antibody [orb767009]
ELISA, IF, IHC, WB
Human, Mouse, Rat
Polyclonal
Unconjugated
100 μlTNFSF11 Antibody [orb1240016]
ELISA, IHC-P, WB
Human, Mouse, Rat
Rabbit
Polyclonal
Unconjugated
0.1 mg, 0.02 mg

Quality Guarantee
Explore bioreagents carefree to elevate your research. All our products are rigorously tested for performance. If a product does not perform as described on its datasheet, our scientific support team will provide expert troubleshooting, a prompt replacement, or a refund. For full details, please see our Terms & Conditions and Buying Guide. Contact us at [email protected].

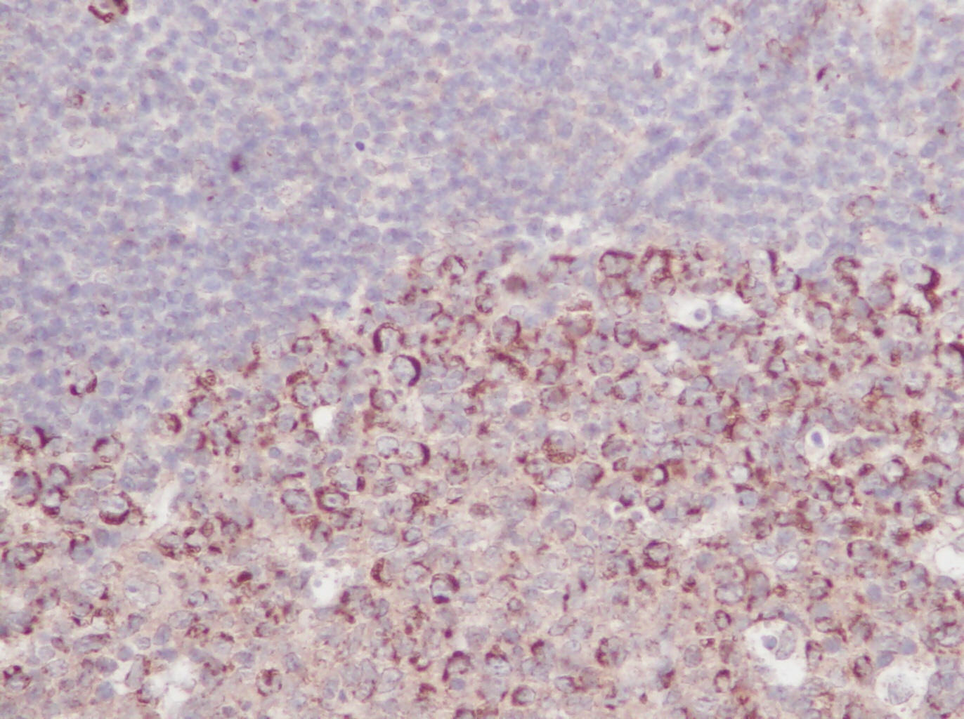
Immunohistochemistry of paraffin-embedded human colon cancer tissue using RANKL antibody

Immunofluorescent analysis of HepG2 cells using RANKL antibody

Immunohistochemistry of paraffin-embedded human gastric cancer tissue using RANKL antibody
Quick Database Links
UniProt Details
−Documents Download
Request a Document
Protocol Information
TNFSF11 Antibody (orb46943)
Participating in our Biorbyt product reviews program enables you to support fellow scientists by sharing your firsthand experience with our products.
Login to Submit a Review























