You have no items in your shopping cart.
TRAF6BP Rabbit Polyclonal Antibody
Description
Research Area
Images & Validation
−| Tested Applications | IF, IHC-Fr, IHC-P |
|---|---|
| Dilution Range | IHC-P=1:100-500, IHC-F=1:100-500, IF=1:100-500 |
| Reactivity | Mouse |
| Predicted Reactivity | Bovine, Canine, Equine, Human, Rat, Sheep |
Related Conjugates & Formulations
−Key Properties
−| Antibody Type | Primary Antibody |
|---|---|
| Host | Rabbit |
| Clonality | Polyclonal |
| Isotype | IgG |
| Immunogen | KLH conjugated synthetic peptide derived from human TRAF6BP (241-340/789aa) |
| Target | TAX1BP1 |
| Molecular Weight | 91 kDa |
| Purification | Affinity purified by Protein A |
| Conjugation | Unconjugated |
Storage & Handling
−| Storage | Maintain refrigerated at 2-8°C for up to 2 weeks. For long term storage store at -20°C in small aliquots to prevent freeze-thaw cycles. |
|---|---|
| Form/Appearance | Liquid |
| Buffer/Preservatives | 0.01M TBS (pH7.4) with 1% rAlbumin, 0.02% Proclin300 and 50% Glycerol. |
| Concentration | 1mg/ml |
| Expiration Date | 12 months from date of receipt. |
| Disclaimer | For research use only |
Alternative Names
−Similar Products
−TRAF6BP Rabbit Polyclonal Antibody (HRP) [orb478195]
IHC-Fr, IHC-P
Bovine, Canine, Equine, Human, Rat, Sheep
Mouse
Rabbit
Polyclonal
HRP
100 μlTRAF6BP Rabbit Polyclonal Antibody (Biotin) [orb456357]
IF, IHC-Fr, IHC-P
Bovine, Canine, Equine, Human, Rat, Sheep
Mouse
Rabbit
Polyclonal
Biotin
100 μlTRAF6BP Rabbit Polyclonal Antibody (PE-Cy5) [orb916634]
IF
Bovine, Canine, Equine, Human, Rat, Sheep
Mouse
Rabbit
Polyclonal
PE/Cy5
100 μlTRAF6BP Rabbit Polyclonal Antibody (PE) [orb494072]
IF
Bovine, Canine, Equine, Human, Rat, Sheep
Mouse
Rabbit
Polyclonal
PE
100 μlTRAF6BP Rabbit Polyclonal Antibody (AP) [orb930349]
IHC-Fr, IHC-P
Bovine, Canine, Equine, Human, Rat, Sheep
Mouse
Rabbit
Polyclonal
AP
100 μl

Quality Guarantee
Explore bioreagents carefree to elevate your research. All our products are rigorously tested for performance. If a product does not perform as described on its datasheet, our scientific support team will provide expert troubleshooting, a prompt replacement, or a refund. For full details, please see our Terms & Conditions and Buying Guide. Contact us at [email protected].

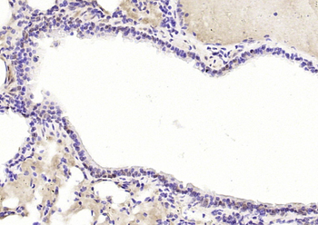
Paraformaldehyde-fixed, paraffin embedded (mouse lung), Antigen retrieval by boiling in sodium citrate buffer (pH6.0) for 15 min, Block endogenous peroxidase by 3% hydrogen peroxide for 20 minutes, Blocking buffer (normal goat serum) at 37°C for 30 min, Antibody incubation with (TRAF6BP) Polyclonal Antibody, Unconjugated (orb158642) at 1:200 overnight at 4°C, followed by operating according to SP Kit (Rabbit) instructionsand DAB staining.
Quick Database Links
UniProt Details
−Documents Download
Request a Document
Protocol Information
TRAF6BP Rabbit Polyclonal Antibody (orb158642)
Participating in our Biorbyt product reviews program enables you to support fellow scientists by sharing your firsthand experience with our products.
Login to Submit a Review