You have no items in your shopping cart.
Transthyretin antibody
Description
Images & Validation
−| Tested Applications | ELISA, IHC-P, WB |
|---|---|
| Reactivity | Human, Rat |
Key Properties
−| Host | Mouse |
|---|---|
| Clonality | Monoclonal |
| Isotype | IgG1 |
| Clone No. | 5A4H7H8 |
| Immunogen | Human Transthyretin recombinant protein (orb315545) was used as immunogen. |
| Target | Transthyretin. Recognizes endogenous levels of Transthyretin protein |
| Molecular Weight | 16 kDa |
| Purity | Monoclonal antibodies are purified by peptide affinity chromatography |
| Conjugation | Unconjugated |
Storage & Handling
−| Storage | Maintain refrigerated at 2-8°C for up to 2 weeks. For long term storage store at -20°C in small aliquots to prevent freeze-thaw cycles. |
|---|---|
| Form/Appearance | Liquid: 10 mM PBS, 0.02% sodium azide |
| Concentration | - 100 μg (in 200 μl): 0.5 mg/ml- 200 μg (in 400 μl): 0.5 mg/ml |
| Expiration Date | 12 months from date of receipt. |
| Disclaimer | For research use only |
Alternative Names
−Similar Products
−TTR/Prealbumin Rabbit Polyclonal Antibody [orb11510]
WB
Mouse, Rat
Human, Mouse, Rat
Rabbit
Polyclonal
Unconjugated
200 μl, 100 μl, 50 μlPrealbumin/TTR Rabbit Polyclonal Antibody [orb316613]
IF, IHC, WB
Mouse, Rat
Rabbit
Polyclonal
Unconjugated
100 μg

Quality Guarantee
Explore bioreagents carefree to elevate your research. All our products are rigorously tested for performance. If a product does not perform as described on its datasheet, our scientific support team will provide expert troubleshooting, a prompt replacement, or a refund. For full details, please see our Terms & Conditions and Buying Guide. Contact us at [email protected].

Western blot analysis of His-28TTR recombinant protein 3000 ng using Transthyretin antibody (1 ug/ml)

Western blot analysis of His-28TTR recombinant protein 100 ng using Transthyretin antibody (1 ug/ml)

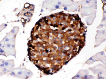
IHC-P image of rat pancreas tissue using anti-Transthyretin (dilution of primary antibody at 3 ug/ml)

Immunohistochemical staining of paraffin embedded rat thymus tissue using Transthyretin antibody (primary antibody at 3 ug/ml)

Western blot analysis of rat liver (lane 1), rat thyroid (lane 2), rat kidney (lane 3) using Transthyretin antibody (1 ug/ml)

IHC-P staining of mouse skin tissue using anti-Transthyretin (dilution at 3 ug/ml)

IHC-P image of rat brain tissue using anti-Transthyretin (dilution of primary antibody at 3 ug/ml)

WB analysis of rat kidney (lane 1), rat thyroid (lane 2) using Transthyretin antibody (1 ug/ml)
Quick Database Links
Documents Download
Request a Document
Protocol Information
Transthyretin antibody (orb334220)
Participating in our Biorbyt product reviews program enables you to support fellow scientists by sharing your firsthand experience with our products.
Login to Submit a Review


















