You have no items in your shopping cart.
TUBB1 Antibody
Description
Research Area
Images & Validation
−| Tested Applications | ELISA, IHC, WB |
|---|---|
| Dilution Range | WB:1:1000-5000, IHC-P:1:20-200 |
| Reactivity | Human |
Key Properties
−| Host | Rabbit |
|---|---|
| Clonality | Polyclonal |
| Isotype | IgG |
| Immunogen | Recombinant Human Tubulin beta-1 chain protein (270-451AA) |
| Target | TUBB1 |
| Purification | >95%, Protein G purified |
| Conjugation | Unconjugated |
Storage & Handling
−| Storage | Maintain refrigerated at 2-8°C for up to 2 weeks. For long term storage store at -20°C in small aliquots to prevent freeze-thaw cycles. |
|---|---|
| Form/Appearance | Liquid |
| Buffer/Preservatives | Preservative: 0.03% Proclin 300. Constituents: 50% Glycerol |
| Expiration Date | 12 months from date of receipt. |
| Disclaimer | For research use only |
Alternative Names
−Similar Products
−Beta tubulin Rabbit Polyclonal Antibody (Loading Control) [orb100281]
FC, IF, IHC-Fr, IHC-P, WB
Rabbit
Human, Mouse, Rat
Rabbit
Polyclonal
Unconjugated
1 ml, 100 μl, 500 μl, 200 μlTUBB1 Antibody [orb229789]
FC, ICC, IHC, WB
Human, Monkey, Mouse, Rat
Mouse
Monoclonal
Unconjugated
100 μlBeta tubulin Mouse Monoclonal Antibody (Loading Control) [orb499644]
ICC, IF, IHC-Fr, IHC-P, WB
Bovine, Canine, Gallus, Guinea pig, Insect, Monkey, Porcine, Rabbit, Sheep, Yeast
Human, Mouse, Rat
Mouse
Monoclonal
Unconjugated
1 ml, 100 μl, 500 μl, 200 μlBeta I Tubulin Mouse Monoclonal Antibody (Loading Control) [orb500698]
ICC, IF, IHC-Fr, IHC-P, WB
Mouse, Rat
Human, Mouse, Rat
Mouse
Monoclonal
Unconjugated
100 μl, 200 μg, 50 μlTubulin beta Rabbit Polyclonal Antibody [orb669139]
ELISA, FC, ICC, IF, IHC, WB
Human, Mouse, Rat
Rabbit
Polyclonal
Unconjugated
100 μg

Quality Guarantee
Explore bioreagents carefree to elevate your research. All our products are rigorously tested for performance. If a product does not perform as described on its datasheet, our scientific support team will provide expert troubleshooting, a prompt replacement, or a refund. For full details, please see our Terms & Conditions and Buying Guide. Contact us at [email protected].

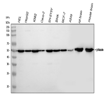
Western blot analysis of Mouse brain tissue using Tubulin beta 1 antibody

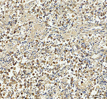
Immunohistochemical staining of human tonsil tissue using Tubulin beta 1 antibody

Immunohistochemical staining of human kidney tissue using Tubulin beta 1 antibody

Immunohistochemical staining of human brain tissue using Tubulin beta 1 antibody

Immunohistochemical staining of human proste cancer using Tubulin beta 1 antibody
Quick Database Links
UniProt Details
−Documents Download
Request a Document
Protocol Information
TUBB1 Antibody (orb36984)
Participating in our Biorbyt product reviews program enables you to support fellow scientists by sharing your firsthand experience with our products.
Login to Submit a Review


























