You have no items in your shopping cart.
UBE2S Antibody
Description
Research Area
Images & Validation
−| Tested Applications | ELISA, IHC |
|---|---|
| Dilution Range | IHC-P:1:20-200 |
| Reactivity | Human |
Key Properties
−| Host | Rabbit |
|---|---|
| Clonality | Polyclonal |
| Isotype | IgG |
| Immunogen | Recombinant Human Ubiquitin-conjugating enzyme E2 S protein (1-222AA) |
| Target | UBE2S |
| Purification | Antigen Affinity Purified |
| Conjugation | Unconjugated |
Storage & Handling
−| Storage | Maintain refrigerated at 2-8°C for up to 2 weeks. For long term storage store at -20°C in small aliquots to prevent freeze-thaw cycles. |
|---|---|
| Form/Appearance | Liquid |
| Buffer/Preservatives | PBS with 0.02% sodium azide, 50% glycerol, pH7.3. |
| Expiration Date | 12 months from date of receipt. |
| Disclaimer | For research use only |
Alternative Names
−Similar Products
−UBE2S Antibody (C-term) [orb1931923]
IHC-P, WB
Bovine, Mouse, Rat, Xenopus
Human
Rabbit
Polyclonal
Unconjugated
100 μl, 50 μlUBE2S Antibody [orb520715]
ELISA, IHC, WB
Human, Mouse, Rat
Rabbit
Polyclonal
Unconjugated
50 μl, 100 μlUBE2S Rabbit Polyclonal Antibody [orb1291702]
ELISA, FC, ICC, IF, WB
Human, Rat
Rabbit
Polyclonal
Unconjugated
100 μg

Quality Guarantee
Explore bioreagents carefree to elevate your research. All our products are rigorously tested for performance. If a product does not perform as described on its datasheet, our scientific support team will provide expert troubleshooting, a prompt replacement, or a refund. For full details, please see our Terms & Conditions and Buying Guide. Contact us at [email protected].

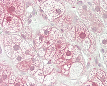
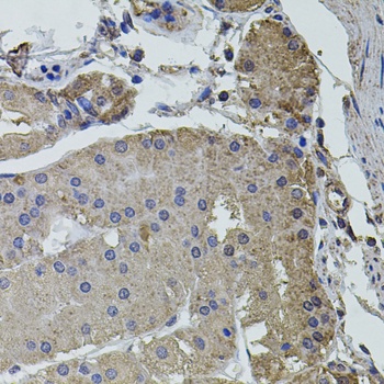
Immunohistochemistry of paraffin-embedded human melanoma tissue using UBE2S antibody

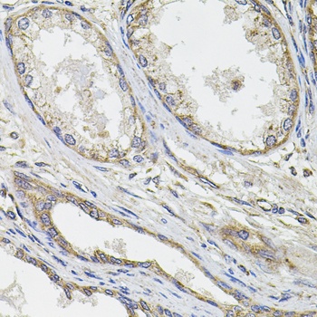
Immunohistochemistry of paraffin-embedded human testis tissue using UBE2S antibody
Quick Database Links
UniProt Details
−Documents Download
Request a Document
Protocol Information
UBE2S Antibody (orb41513)
Participating in our Biorbyt product reviews program enables you to support fellow scientists by sharing your firsthand experience with our products.
Login to Submit a Review











