You have no items in your shopping cart.
Claudin 5 antibody
Description
Images & Validation
−| Tested Applications | ELISA, IHC-P, WB |
|---|---|
| Dilution Range | WB: 1:100-1000, IHC-P: 1:50-300 (based on 0.5 mg/ml) |
| Reactivity | Human, Mouse, Rat |
Key Properties
−| Host | Rabbit |
|---|---|
| Clonality | Polyclonal |
| Isotype | IgG |
| Immunogen | KLH conjugated synthetic peptide derived from human Claudin 5. Please contact us for the exact immunogen sequence. The peptide is available as orb374796. |
| Target | Claudin 5 |
| Molecular Weight | 23 kDa |
| Purity | Polyclonal antibodies are purified by peptide affinity chromatography |
| Conjugation | Unconjugated |
Storage & Handling
−| Storage | Maintain refrigerated at 2-8°C for up to 2 weeks. For long term storage store at -20°C in small aliquots to prevent freeze-thaw cycles. |
|---|---|
| Form/Appearance | 10 mM PBS, 0.02% sodium azide |
| Concentration | - 100 μg (in 200 μl): 0.5 mg/ml- 200 μg (in 400 μl): 0.5 mg/ml |
| Expiration Date | 12 months from date of receipt. |
| Disclaimer | For research use only |
Alternative Names
−Similar Products
−Claudin 5 Rabbit Polyclonal Antibody [orb182867]
FC, IF, IHC-Fr, IHC-P, WB
Bovine, Equine, Porcine, Rabbit, Rat, Sheep
Human, Mouse
Rabbit
Polyclonal
Unconjugated
50 μl, 100 μl, 200 μlClaudin-5 rabbit pAb Antibody [orb764864]
ELISA, IF, IHC, WB
Human, Mouse, Rat
Polyclonal
Unconjugated
100 μl

Quality Guarantee
Explore bioreagents carefree to elevate your research. All our products are rigorously tested for performance. If a product does not perform as described on its datasheet, our scientific support team will provide expert troubleshooting, a prompt replacement, or a refund. For full details, please see our Terms & Conditions and Buying Guide. Contact us at [email protected].

Western blot analysis of human breast tumour (lane 1), mouse lymph node (lane 2), mouse spinal cord (lane 3),rat lung (lane 4) using Claudin 5 antibody (1 ug/ml)

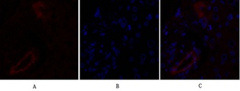
IHC-P image of rat testis tissue using anti-Claudin 5 (2.5 ug/ml)

WB analysis of mouse pancreas (lane 1), rat testis (lane 2),rat uterus (lane 3),rat colon (lane 4) using Claudin 5 antibody (1 ug/ml)

Immunohistochemical staining of rat colon tissue using Claudin 5 antibody (2.5 ug/ml)
Documents Download
Request a Document
Protocol Information
Claudin 5 antibody (orb10416)
Participating in our Biorbyt product reviews program enables you to support fellow scientists by sharing your firsthand experience with our products.
Login to Submit a Review








