You have no items in your shopping cart.
Fab Goat IgG (H&L) Antibody
SKU: orb348422
Description
Images & Validation
−
| Tested Applications | ELISA, IHC, WB |
|---|---|
| Dilution range | ELISA: 1:125,000, IHC: 1:1,000 - 1:5,000, WB: 1:2,000 - 1:10,000 |
| Reactivity | Goat |
| Application Notes |
Key Properties
−| Antibody Type | Secondary Antibody |
|---|---|
| Host | Rabbit |
| Clonality | Polyclonal |
| Isotype | IgG Fab |
| Immunogen | Goat IgG whole molecule |
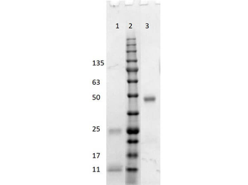
| Purity | This product was prepared from monospecific antiserum by immunoaffinity chromatography using Goat IgG coupled to agarose beads followed by solid phase adsorption(s) to remove any unwanted reactivities, papain digestion and chromatographic separation. Assay by immunoelectrophoresis resulted in a single precipitin arc against anti-Rabbit Serum. No reaction was observed against anti-Papain or anti-Rabbit IgG F(c). |
Storage & Handling
−| Storage | Store vial at 4° C prior to opening. This product is stable at 4° C as an undiluted liquid. Dilute only prior to immediate use. |
|---|---|
| Form/Appearance | Liquid (sterile filtered) |
| Buffer/Preservatives | 0.01% (w/v) Sodium Azide |
| Concentration | 1.36 mg/mL |
| Disclaimer | For research use only |
Alternative Names
−Rabbit Fab Anti-Goat IgG Antibody, Rabbit Fab Fragment Anti-Goat IgG Antibody
Similar Products
−Fab Goat IgG (H&L) Antibody Fluorescein Conjugated [orb348429]
FC, FLISA, IF, WB
Goat
Donkey
Polyclonal
FITC
1 mgFab Guinea Pig IgG (H&L) Antibody Fluorescein Conjugated [orb348435]
DOT, FC, FLISA, IF
Guinea pig
Goat
Polyclonal
FITC
1 mgFab Guinea Pig IgG (H&L) Antibody Biotin Conjugated [orb348437]
ELISA, IHC, WB
Guinea pig
Goat
Polyclonal
Biotin
1 mg

Quality Guarantee
Explore bioreagents carefree to elevate your research. All our products are rigorously tested for performance. If a product does not perform as described on its datasheet, our scientific support team will provide expert troubleshooting, a prompt replacement, or a refund. For full details, please see our Terms & Conditions and Buying Guide. Contact us at [email protected].
Quick Database Links
Documents Download
Datasheet
Product Information
Request a Document
Protocol Information
WB
Western Blot (IB, immunoblot)
IHC
Immunohistochemistry
ELISA
Enzyme-linked Immunosorbent Assay (EIA)
Fab Goat IgG (H&L) Antibody (orb348422)
Based on 0 reviews
Participating in our Biorbyt product reviews program enables you to support fellow scientists by sharing your firsthand experience with our products.
Login to Submit a Review




