You have no items in your shopping cart.
HSPB1 Antibody
Description
Research Area
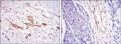
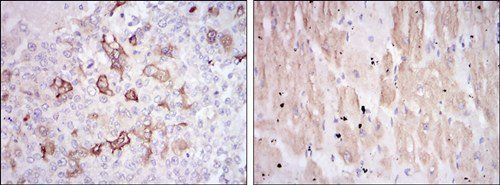
Images & Validation
−| Tested Applications | ELISA, IHC, WB |
|---|---|
| Dilution range | WB: 1:500-1:2000, IHC-P: 1:100-1:300, ELISA: 1:20000 |
| Reactivity | Human |
Key Properties
−| Host | Rabbit |
|---|---|
| Clonality | Polyclonal |
| Isotype | IgG |
| Immunogen | Synthesized peptide derived from Human HSP27 around the non-phosphorylation site of S78. |
| Target | HSPB1 |
| Purification | The antibody was affinity-purified from rabbit antiserum by affinity-chromatography using epitope-specific immunogen. |
| Conjugation | Unconjugated |
Storage & Handling
−| Storage | Maintain refrigerated at 2-8°C for up to 2 weeks. For long term storage store at -20°C in small aliquots to prevent freeze-thaw cycles. |
|---|---|
| Form/Appearance | Liquid |
| Buffer/Preservatives | Liquid in PBS containing 50% glycerol, 0.5% rAlbumin and 0.02% sodium azide. |
| Disclaimer | For research use only |
Alternative Names
−Similar Products
−Hsp27 Recombinant Rabbit Monoclonal Antibody [orb1499379]
FC, ICC, IF, IHC-Fr, IHC-P, WB
Rat
Human, Mouse, Rat
Rabbit
Recombinant
Unconjugated
25 μl, 100 μl, 50 μlHSP27 Rabbit Polyclonal Antibody [orb10845]
FC, IF, IHC-Fr, IHC-P, WB
Bovine, Canine, Mouse, Porcine
Human, Rat
Rabbit
Polyclonal
Unconjugated
50 μl, 100 μl, 200 μlHsp27/HSPB1 Antibody [orb215991]
FC, ICC, IF, IHC, IHC-Fr, IP, WB
Human
Rabbit
Polyclonal
Unconjugated
100 μgHsp27/HSPB1 Antibody (monoclonal, 3H3) [orb570310]
FC, ICC, IF, IHC, WB
Human
Mouse
Monoclonal
Unconjugated
100 μg

Quality Guarantee
Explore bioreagents carefree to elevate your research. All our products are rigorously tested for performance. If a product does not perform as described on its datasheet, our scientific support team will provide expert troubleshooting, a prompt replacement, or a refund. For full details, please see our Terms & Conditions and Buying Guide. Contact us at [email protected].

Western blot analysis of Jurkat cells using HSPB1 antibody
Quick Database Links
UniProt Details
−Documents Download
Request a Document
Protocol Information
HSPB1 Antibody (orb675634)
Participating in our Biorbyt product reviews program enables you to support fellow scientists by sharing your firsthand experience with our products.
Login to Submit a Review






































