You have no items in your shopping cart.
IL3RA Antibody
Description
Images & Validation
−| Tested Applications | FC, ICC, IHC |
|---|---|
| Dilution Range | IHC: 1/200 - 1/1000; ICC: 1/200 - 1/1000; FCM: 1/200 - 1/400; ELISA: 1/10000 |
| Reactivity | Human |
Key Properties
−| Antibody Type | Primary Antibody |
|---|---|
| Host | Mouse |
| Clonality | Monoclonal |
| Isotype | Mouse IgG1 |
| Clone No. | 8E11C5 |
| Immunogen | Purified recombinant fragment of human IL3RA (AA: 200-305) expressed in E. Coli. |
| Target | IL3RA |
| Molecular Weight | 43.3kDa |
| Conjugation | Unconjugated |
Storage & Handling
−| Storage | Maintain refrigerated at 2-8°C for up to 2 weeks. For long term storage store at -20°C in small aliquots to prevent freeze-thaw cycles. |
|---|---|
| Buffer/Preservatives | Purified antibody in PBS with 0.05% sodium azide |
| Concentration | Approximately 1mg/ml (varies from batch to batch). Please inquire for precise concentration. |
| Expiration Date | 12 months from date of receipt. |
| Disclaimer | For research use only |
Alternative Names
−Similar Products
−IL-3Rα rabbit pAb Antibody [orb767175]
ELISA, IF, IHC, WB
Human, Mouse, Rat
Polyclonal
Unconjugated
100 μlHuman Interleukin 3 Receptor Alpha (IL3Ra) ELISA Kit [orb777766]
Human
0.32-20 ng/mL
0.134 ng/mL
48 T, 96 T

Quality Guarantee
Explore bioreagents carefree to elevate your research. All our products are rigorously tested for performance. If a product does not perform as described on its datasheet, our scientific support team will provide expert troubleshooting, a prompt replacement, or a refund. For full details, please see our Terms & Conditions and Buying Guide. Contact us at [email protected].

Line graph illustrates about the Ag-Ab reactions using different concentrations of antigen and serial dilutions of IL3RA antibody

Flow cytometric analysis of Hela cells lysates using IL3RA antibody

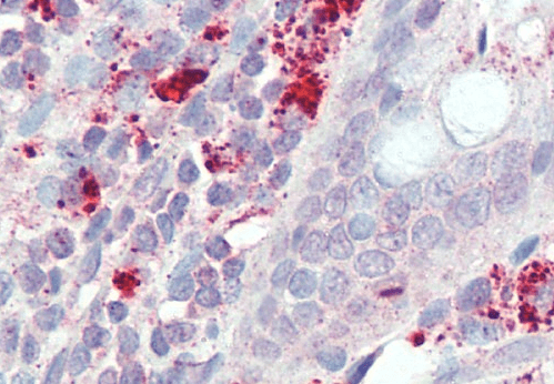
Immunohistochemical analysis of formalin-fixed and paraffin-embedded ovarian cancer tissues using IL3RA antibody

Immunohistochemical analysis of formalin-fixed and paraffin-embedded lung cancer tissues using IL3RA antibody

Western blot analysis of human IL3RA using IL3RA antibody

Western blot analysis of HEK293 (Lane 1) HEK293 (Lane 2) cell lysate using IL3RA antibody
Documents Download
Request a Document
Protocol Information
IL3RA Antibody (orb153471)
Participating in our Biorbyt product reviews program enables you to support fellow scientists by sharing your firsthand experience with our products.
Login to Submit a Review











