You have no items in your shopping cart.
SUMO1 Antibody (N-term)
Description
Research Area
Images & Validation
−| Tested Applications | FC, IF, IHC-P, WB |
|---|---|
| Dilution Range | WB - 1:1000, IHC-P - 1:100-500, FC - 1:10-50, IF - 1:10-50 |
| Reactivity | Human |
| Predicted Reactivity | Bovine, Mouse, Porcine, Rat |
Key Properties
−| Antibody Type | Primary Antibody |
|---|---|
| Host | Rabbit |
| Clonality | Polyclonal |
| Isotype | Rabbit IgG |
| Molecular Weight | 11557 Da |
| Conjugation | Unconjugated |
Storage & Handling
−| Storage | Maintain refrigerated at 2-8°C for up to 2 weeks. For long term storage store at -20°C in small aliquots to prevent freeze-thaw cycles |
|---|---|
| Form/Appearance | Purified polyclonal antibody supplied in PBS with 0.09% (W/V) sodium azide. This antibody is prepared by Saturated Ammonium Sulfate (SAS) precipitation followed by dialysis against PBS. |
| Expiration Date | 12 months from date of receipt. |
| Disclaimer | For research use only |
Alternative Names
−Similar Products
−SUMO1 Antibody (N-term) [orb1936466]
IF, IHC-P, WB
Bovine, Porcine
Human, Mouse, Rat
Rabbit
Polyclonal
Unconjugated
100 μl, 50 μlSUMO1 Rabbit Polyclonal Antibody [orb214713]
IF, IHC, WB
Bovine, Canine, Human, Monkey, Mouse, Porcine, Rat
Rabbit
Polyclonal
Unconjugated
30 μl, 100 μl, 200 μl, 50 μl

Quality Guarantee
Explore bioreagents carefree to elevate your research. All our products are rigorously tested for performance. If a product does not perform as described on its datasheet, our scientific support team will provide expert troubleshooting, a prompt replacement, or a refund. For full details, please see our Terms & Conditions and Buying Guide. Contact us at [email protected].

Confocal immunofluorescent analysis of SUMO1 Antibody (N-term) with A375 cell followed by Alexa Fluor 488-conjugated goat anti-rabbit lgG (green). Actin filaments have been labeled with Alexa Fluor 555 phalloidin (red). DAPI was used to stain the cell nuclear (blue).

Formalin-fixed and paraffin-embedded human cancer tissue reacted with the primary antibody, which was peroxidase-conjugated to the secondary antibody, followed by DAB staining. This data demonstrates the use of this antibody for immunohistochemistry; clinical relevance has not been evaluated. BC = breast carcinoma; HC = hepatocarcinoma.

SUMO1 Antibody (N-term) flow cytometric analysis of Hela cells (right histogram) compared to a negative control cell (left histogram). FITC-conjugated goat-anti-rabbit secondary antibodies were used for the analysis.

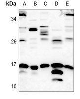
The anti-SUMO1 polyclonal antibody is used in Western blot to detect SUMO1 in HL-60 cell lysate.
Quick Database Links
UniProt Details
−Documents Download
Request a Document
Protocol Information
SUMO1 Antibody (N-term) (orb1937652)
Participating in our Biorbyt product reviews program enables you to support fellow scientists by sharing your firsthand experience with our products.
Login to Submit a Review










