You have no items in your shopping cart.
TRADD Antibody
Description
Research Area
Images & Validation
−| Tested Applications | ELISA, IF, IHC, IP, WB |
|---|---|
| Dilution Range | WB:1:500-5000, IHC-P:1:20-200, IF:1:50-200, IP:1:200-2000 |
| Reactivity | Human, Rat |
Key Properties
−| Host | Rabbit |
|---|---|
| Clonality | Polyclonal |
| Isotype | IgG |
| Immunogen | Recombinant Human Tumor necrosis factor receptor type 1-associated DEATH domain protein (1-312AA) |
| Target | TRADD |
| Purification | >95%, Protein G purified |
| Conjugation | Unconjugated |
Storage & Handling
−| Storage | Maintain refrigerated at 2-8°C for up to 2 weeks. For long term storage store at -20°C in small aliquots to prevent freeze-thaw cycles. |
|---|---|
| Form/Appearance | Liquid |
| Buffer/Preservatives | Preservative: 0.03% Proclin 300. Constituents: 50% Glycerol |
| Expiration Date | 12 months from date of receipt. |
| Disclaimer | For research use only |
Alternative Names
−Similar Products
−TRADD Antibody (Center) [orb1937832]
FC, IF, IHC-P, WB
Human
Rabbit
Polyclonal
Unconjugated
100 μl, 50 μlTRADD rabbit pAb Antibody [orb766508]
ELISA, IF, IHC, WB
Human, Monkey, Mouse
Polyclonal
Unconjugated
100 μl, 50 μlTRADD Rabbit Polyclonal Antibody [orb11504]
IF, IHC-Fr, IHC-P, WB
Rabbit
Human, Mouse, Rat
Rabbit
Polyclonal
Unconjugated
200 μl, 100 μl, 50 μlTRADD Antibody [orb127297]
IHC, WB
Human, Mouse
Rabbit
Polyclonal
Unconjugated
50 μg, 25 μg, 100 μg, 200 μg

Quality Guarantee
Explore bioreagents carefree to elevate your research. All our products are rigorously tested for performance. If a product does not perform as described on its datasheet, our scientific support team will provide expert troubleshooting, a prompt replacement, or a refund. For full details, please see our Terms & Conditions and Buying Guide. Contact us at [email protected].

Western blot analysis of K562 whole cell lysate(lane 1), Rat kidney tissue(lane 2) using TRADD antibody

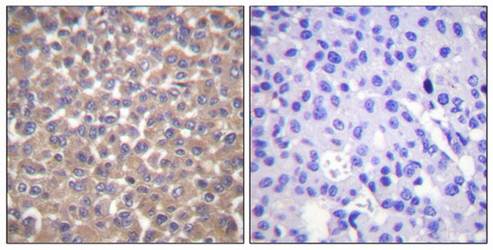
Immunohistochemical staining of human liver tissue using TRADD antibody

Immunohistochemical staining of human tonsil tissue using TRADD antibody

Immunofluorescence analysis of U251 cells using TRADD antibody

Immunoprecipitation analysis of K562 whole cell lysate using TRADD antibody
Quick Database Links
UniProt Details
−Documents Download
Request a Document
Protocol Information
TRADD Antibody (orb51626)
Participating in our Biorbyt product reviews program enables you to support fellow scientists by sharing your firsthand experience with our products.
Login to Submit a Review


















