You have no items in your shopping cart.
CSF1R Antibody
Description
Images & Validation
−| Tested Applications | FC, IHC |
|---|---|
| Dilution range | IHC: 1/200 - 1/1000; FCM: 1/200 - 1/400; ELISA: 1/10000 |
| Reactivity | Human |
Key Properties
−| Antibody Type | Primary Antibody |
|---|---|
| Host | Mouse |
| Clonality | Monoclonal |
| Isotype | Mouse IgG2b |
| Clone No. | 6B9H2 |
| Immunogen | Purified recombinant fragment of human CSF1R (AA: 344-497) expressed in E. Coli. |
| Target | CSF1R |
| Molecular Weight | 108kDa |
| Conjugation | Unconjugated |
Storage & Handling
−| Storage | Maintain refrigerated at 2-8°C for up to 2 weeks. For long term storage store at -20°C in small aliquots to prevent freeze-thaw cycles. |
|---|---|
| Buffer/Preservatives | Purified antibody in PBS with 0.05% sodium azide |
| Concentration | Approximately 1mg/ml (varies from batch to batch). Please inquire for precise concentration. |
| Disclaimer | For research use only |
Alternative Names
−Similar Products
−Mouse Csf1r Antibody (C-term) [orb1936300]
IF, IHC-P, WB
Mouse, Rat
Rabbit
Polyclonal
Unconjugated
100 μl, 50 μlMCSF Receptor (CSF1R) Antibody (C-term) [orb1929110]
FC, IHC-P, WB
Human, Mouse, Rat
Rabbit
Polyclonal
Unconjugated
100 μl, 50 μlc-Fms rabbit pAb Antibody [orb764835]
ELISA, IF, IHC, WB
Human, Mouse, Rat
Polyclonal
Unconjugated
100 μl, 50 μl

Quality Guarantee
Explore bioreagents carefree to elevate your research. All our products are rigorously tested for performance. If a product does not perform as described on its datasheet, our scientific support team will provide expert troubleshooting, a prompt replacement, or a refund. For full details, please see our Terms & Conditions and Buying Guide. Contact us at [email protected].

Line graph illustrates about the Ag-Ab reactions using different concentrations of antigen and serial dilutions of CSF1R antibody

Flow cytometric analysis of HepG2 cells lysates using CSF1R antibody

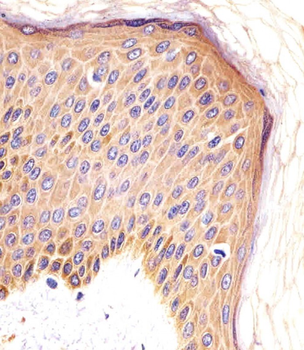
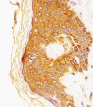
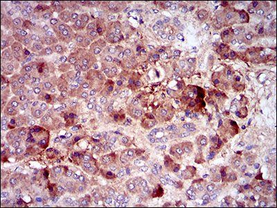
Immunohistochemical analysis of formalin-fixed and paraffin-embedded prostate cancer tissues using CSF1R antibody

Immunohistochemical analysis of formalin-fixed and paraffin-embedded cervical cancer tissues using CSF1R antibody

Western blot analysis of human CSF1R using CSF1R antibody

Western blot analysis of HEK293 (Lane 1) HEK293 (Lane 2) cell lysate using CSF1R antibody
Documents Download
Request a Document
Protocol Information
CSF1R Antibody (orb153539)
Participating in our Biorbyt product reviews program enables you to support fellow scientists by sharing your firsthand experience with our products.
Login to Submit a Review





















