You have no items in your shopping cart.
PRDX5 Antibody
Description
Images & Validation
−| Tested Applications | ELISA, IF, IHC, WB |
|---|---|
| Dilution range | WB:1:500-2000, IHC-P:1:20-1:200 |
| Reactivity | Human, Mouse |
Key Properties
−| Host | Rabbit |
|---|---|
| Clonality | Polyclonal |
| Isotype | IgG |
| Immunogen | Recombinant Human Peroxiredoxin-5, mitochondrial protein (53-214AA) |
| Target | PRDX5 |
| Purification | Antigen Affinity Purified |
Storage & Handling
−| Storage | Maintain refrigerated at 2-8°C for up to 2 weeks. For long term storage store at -20°C in small aliquots to prevent freeze-thaw cycles. |
|---|---|
| Form/Appearance | Liquid |
| Buffer/Preservatives | PBS with 0.02% sodium azide, 50% glycerol, pH7.3. |
| Disclaimer | For research use only |
Alternative Names
−Similar Products
−Peroxiredoxin 5/PRDX5 Antibody [orb251567]
FC, ICC, IF, IHC, WB
Human, Mouse, Rat
Rabbit
Polyclonal
Unconjugated
100 μg2 Cys Peroxiredoxin Rabbit Polyclonal Antibody [orb186711]
IF, IHC-Fr, IHC-P
Equine, Mouse, Porcine, Rat
Human
Rabbit
Polyclonal
Unconjugated
50 μl, 100 μl, 200 μl

Quality Guarantee
Explore bioreagents carefree to elevate your research. All our products are rigorously tested for performance. If a product does not perform as described on its datasheet, our scientific support team will provide expert troubleshooting, a prompt replacement, or a refund. For full details, please see our Terms & Conditions and Buying Guide. Contact us at [email protected].

Western blot analysis of mouse brain tissue(lane 1), Hela(lane 2), 293T(lane 3) whole cell lysate using PRDX5 antibody

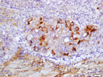
Immunohistochemical staining of human kidney using PRDX5 antibody

Immunofluorescence analysis of PC-3 cells using PRDX5 antibody

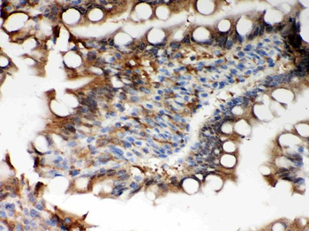
Immunohistochemical staining of human epityphlon tissue using PRDX5 antibody
Quick Database Links
UniProt Details
−Documents Download
Request a Document
Protocol Information
PRDX5 Antibody (orb353288)
Participating in our Biorbyt product reviews program enables you to support fellow scientists by sharing your firsthand experience with our products.
Login to Submit a Review













